CEREC "Before and After"
Images of actual patients.
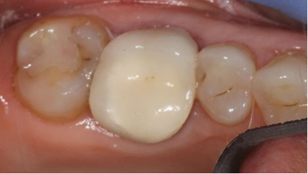
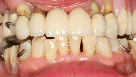
Before

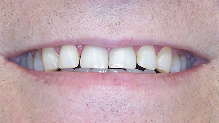
After

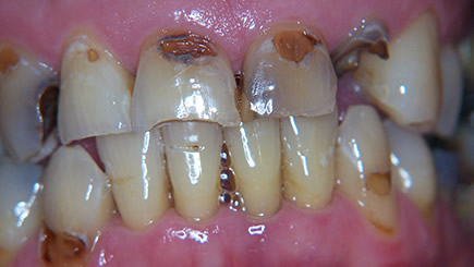
Before

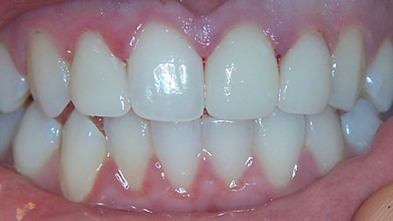
After

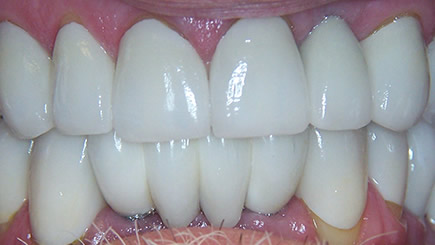
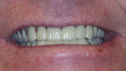
Before

After

Cosmetic and Restorative Dentistry:
Images of actual patients.
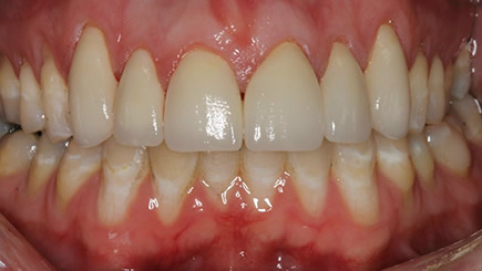
Before

After

Before

After

Before

After

Before

After

Before

After

Before

After

Before

After
